ГЛАВНАЯ
СТАТЬИ
ГАЛЕРЕЯ РАБОТ
ВИДЕО
ОБО МНЕ
МОЙ ПУТЬ
FAQ
КОНТАКТЫ
More
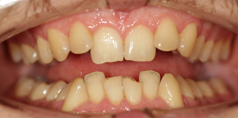
Ортодонтическое лечение на брекет-системе. Срок лечения - 1,5 года.